
保険診療についての考え

保険治療は健診や歯石除去のような予防にかかわるものと、痛みや腫れ、取れた欠けた、義歯が合わない等の主訴の解消の治療になります。 当院では違和感もなく、保険制度上の一般的な水準で行われています既存の歯科治療を患者さんの要望で敢えてやり替えることはいたしません。 以下に20数年前の古いホームページの文章を再掲載いたします。
健康保険で最良の治療が受けられるのでしょうか?(2002年のテキストより)
本来医療は可能な限り最善を尽くすのが役目なのですが、一方で海外の移植医療で不治の病から救われる子がいれば、ある国では何十円の薬剤が与えられず早逝してしまう子があとを絶たないのも現実です。 その意味で歯科治療は前者が許されるような国でのみ発達した、非常に贅沢な個人的利益から離れては存在しない医療といえます。 私たち歯科医師のあり方も治療指針もまず患者さんの主訴を如何に解消すべきかから始まり、どこまで内容を追及すべきかに問題は移っていきます。 結局のところ、学問的最良の方法を横目で睨みながら経済的制約をふまえ臨床上の妥協点を探らざる得ないというのが実情です。 以下の文脈はそのような視点に依拠していますが、求める方誰にでも最良の医療が提供できることが理想であるのは当然です。
審美性を重視したデンタルセラッミクスはかぶせものの治療(歯冠修復)に使えませんが、矯正、人工材料を使った再建療法を別にすれば、日本の健康保険の給付範囲は世界で一番広いほうでしょう。 もしコストの考えを捨て学問的基準に則った的確な治療がおこなわれれば、保険適用材料だけでも機能的にも、耐久性でも必要十分な治療が受けられるはずです。 私の大臼歯の噛み合わせ面のアマルガム充填は、20年以上たってもまったく問題がありませんが、基本的に単純な治療(原則が守りやすい治療)なら理工学的には半永久的に処置が有効となるはずです。
しかしながら患者さん特有の問題で、ムシバが歯と歯の隙間にできたり、歯肉の下まで及んでいる場合は、たったそれだけで噛み合わせの面に限局した小さなムシバに比べ(形態を整え、型取りをし、修復をする過程で)何十倍も難しい治療になってしまうのです。 また痛みのため神経(歯髄)を取るような処置が入りますと、これもまた輪をかけて困難な内容に膨らみます。 そして内容が濃くなりますと技術的な優劣(+時間)が治療の予後に大きな影響を与えることになるのです。 私の受けた治療も歯の修復が側面まで含まれていたら、数年でムシバの再発、やり換えの繰り返し、そのうち痛んで歯髄の除去、根の治療の失敗、抜歯という悪循環に陥っていたかもしれません。 ラッキーでもあったのです。

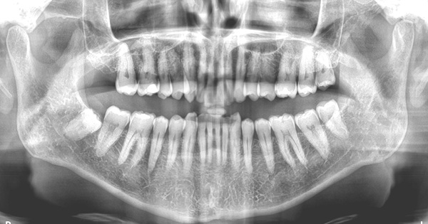
2024年時の院長の口腔状態
歯の治療はものの売り買いではありませんので、この料金(報酬)で出来る範囲で仕事しろというのでは、治療の質は保たれませんし、採算を考えたら良い治療は小さなムシバぐらいしか出来なくなってしまうのが現実です。結局のところ一人一人の患者さんに対する責任感の強い歯科医師こそがプロが見て納得のいく治療をするものかと思いますが、そのような医師になら完璧でなくとも十分堅固な歯科治療を保険制度のもとで受けられるでしょう。 ただ残念なのは、たくさんの患者さんを診ては治療の質は確実に下がりますので、良い先生だと思っていたら患者さんが増え出したら赤信号です。 歯科は内科と違い診たてではまったく治らないのですから。
現在の健康保険制度の本当の問題は医師の良心とか、倫理観に必要以上に依存していることです。 優良な治療内容を提供するには大げさでも損得抜きの気高い精神が要求されます。 そしてそれが一番の問題なのは、気持ちはその時々で変化しますので堕落するのは簡単だからです。
*保険診療同様に自費診療においても治療費用が治療の質を担保しているわけではありません。 公的な費用設定と異なり、自費治療の価格設定は医院の借入金額や固定経費・私的な経済状況が反映されるせいか、若い世代の医院では経験値と相関性のない設定が多く見られようです。(2025年)

